Saturday, June 16, 2012
Got Me Some Peonies!
Monday, June 11, 2012
The Final Touch to the Kitchen
We installed our new dining room light fixture yesterday. I can officially say that every single "to do" item on the kitchen list is now complete. I got this fixture through work when we closed our showroom. I did have to buy one of the glass bowls because one was broken, but well worth it.
Now to complete all the other "to do's" for every other room...
Now to complete all the other "to do's" for every other room...
Sunday, June 10, 2012
Friday, June 8, 2012
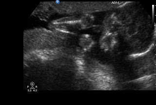
It's a baby!
A baby boy to be specific! We found out yesterday at my 20 week appointment. He was sleeping for most of the ultrasound and wouldn't roll over, so I had to go back in 30 minutes later for a second so they could get photos from a few more angles. Who knew...
Here's a head and an arm.
We have some quick little snippets (really quick, don't blink) of baby's movements while he's awake. In the first one you can see his heart beating.
In this one baby is on his back now, it's a close up of his head and arms wriggling around.
Subscribe to:
Comments (Atom)






